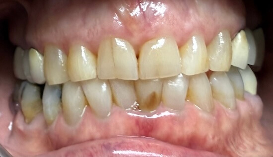
Anterior Upper Crowns
Before

After

Complete Maxillary and Mandibular Dentures
Before

After

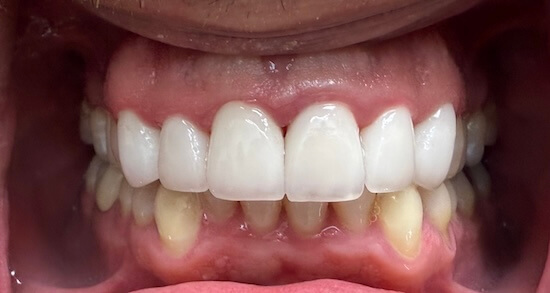
Anterior Upper Crowns
Before

After

Maxillary and Mandibular Complete Dentures
Before

After

Upper Anterior Crowns
Before

After

Removable Partial Denture
Before

After

Composite Bonding
Before

After

Fixed Partial Denture (Bridge)
Before

After

Maxillary Complete Denture over Mandibular Overdenture
Before

After

Full Mouth Reconstruction
Before

After

Pagination
Get a brighter smile today!
Contact us now to schedule your appointment and have the smile you've dreamed about!