Javascript must be enabled for the correct page display
Hours & Contact
Monday - Thursday:
8:00am - 4:30pm
Friday - Sunday:
Closed
Have a question? Give us a call!
(941) 239-6557
Se habla español
facebook
instagram
google
Main Menu
Menu
Smile Gallery
Services
Emergency Dentist
General Dentistry
Root Canal Treatment
Wellness
Dental Cleanings
Oral & Systemic Health
Oral Cancer Screenings
Preventive Treatment
Systemic Health
Restorative
Dental Crowns & Bridges
Dental Fillings
Dental Implant Maintenance
Dental Implants
Dentures
Full Mouth Reconstruction
Cosmetic
Conditions
Bad Breath Treatment
Custom Mouth Guards
Dental Anxiety
Gum Disease
Periodontal Recall Appointments
Oral Surgery
About Us
Meet the Team
Dentists
Hygienists
Support Staff
Testimonials
Gallery
Community Involvement
Technology
Blog
Cosmetic
Dental Services
Patient Info
At Home Care
Insurance & Financing
New Patient Form
Post-Surgical Care
Special Offers
Request an Appointment
Search
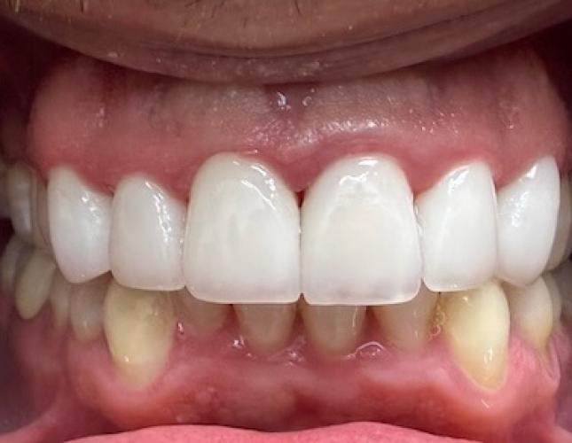
Anterior
Upper Crowns
Anonymous